●反対咬合(受け口)
 
  | 
          
          
             
            治療前 | 
          
          
                  | 
          
          
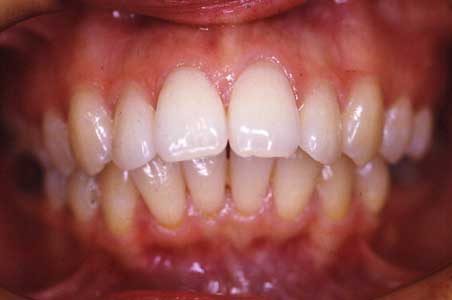
            主訴:受け口 
            診断名:上顎前歯の舌側傾斜と機能的要因による反対咬合症例 年齢:28歳 | 
          
          
             
            矯正装置装着時 | 
          
          
                  | 
          
          
            上は裏からリンガルブラケット、下は表からセラミックブラケット、抜歯部位:非抜歯 
 | 
          
          
             
            治療後  | 
          
          
                  | 
          
          
            上の歯が正しい位置にきて上下で正しくかみ合えるようになりました 
            治療期間:1年9ヶ月その後保定:2年 治療費総額:63万円 
             
             
            ※リスク 
上顎前歯の舌側傾斜と機能的要因による反対咬合なので、装置装着から正常被蓋になるまでに約半年ほど、かなりの咬みずらさがあります。 
また装置も上は裏からなので、磨き残しや歯肉の炎症などが、おきないようブラッシングに注意が必要です。 
年齢的に治療後の叢生部分でのブラックトライアングルができる可能性もあります。 
矯正治療後の保定装置をしっかり使用して後戻りしないよう注意が必要です。 
           | 
          
             
             
             
             
            ●叢生(八重歯)
 
  | 
          
          
             
            治療前 | 
          
          
                  | 
          
          
            主訴:八重歯 デコボコ 
            診断名:歯牙と歯槽規定の不調和による叢生症例 年齢:18歳 | 
          
          
             
            矯正装置装着時 | 
          
          
                  | 
          
          
            | 上は裏からリンガルブラケット、下は表からセラミックブラケット、抜歯部位:上下顎ともに第2小臼歯の抜歯 | 
          
          
             
            治療後  | 
          
          
                  | 
          
          
            でこぼこが取れて八重歯もなくなり上下でかみあえるようになりました。 
            治療期間:1年11ヶ月その後保定:2年 治療費総額:64万円 
             ※リスク 
初診時の叢生が上顎でかなり強い状態で叢生が改善されるまでは、ブラッシングも磨きずらく歯肉の腫脹にも注意して、かなり丁寧なブラッシングが必要です。 
治療後の後戻りもかなり予想されますので舌側から固定するタイプの保定装置が必要になります。 
           | 
          
             
             
             
             
            ●開咬
 
  | 
          
          
             
            治療前 | 
          
          
                  | 
          
          
            主訴:前歯で物が咬めない 
            診断名:下顎の過成長による反対咬合の骨格を有する開咬症例 年齢:28歳 | 
          
          
             
            矯正装置装着時 | 
          
          
                  | 
          
          
            上下顎とも表からセラミックブラケット、抜歯部位:下顎左右側第1小臼歯の抜歯 
             | 
          
          
             
            治療後 | 
          
          
                  | 
          
          
            上下で咬みあえるようになりました。 
            治療期間:2年1ヶ月その後保定:2年6ヶ月 治療費総額:58万円 
             ※リスク 
臼歯部のみでしか咬合しておらず、全体が咬みあうまでに時間がかかります。 
期間が長くなると歯根短縮に注意が必要ですし、顎間ゴムを長期間使用しますので、顎の関節に負担がかかる場合もありますので顎関節症状に注意が必要です。 
矯正治療後の後戻りも予想されますので、保定終了後も寝るときだけは保定装置の使用をお勧めします。 
 | 
          
          
             
             
             
             
            ●上顎前突(出っ歯)
 
  | 
          
          
             
            治療前 | 
          
          
                  | 
          
          
            主訴:出っ歯 前歯が当たらない 
            診断名:上顎の前方位と上顎前歯の唇側傾斜による上顎前突症例 年齢:28歳 | 
          
          
             矯正装置装着時 | 
          
          
                | 
          
          
            | 上下顎とも裏からリンガルブラケット、抜歯部位:上顎左右側第1小臼歯の抜歯 | 
          
          
             治療後 | 
          
          
                  | 
          
          
            上下で咬みあえるようになりました。 
            治療期間:2年6ヶ月その後保定:2年6ヶ月 治療費総額:74万円 
             
             ※リスク 
上顎前歯がかなり突出しておりさらにブラケットも上下ともに裏からの治療で、後退するにはお時間かかりますので、歯根の短縮や顎間ゴムの使用による顎関節症状には注意して行わなければいけません。 
また年齢的にも治療後にブラックトライアングルができる可能性もあります。 
ブラケット除去後の保定装置もしっかり使用しないと後戻りもありますので注意が必要です。 
 |